
Ultraljud gravid
Vi utför alla ultraljud som kan vara indicerade under en graviditet. Hos oss träffar du erfarna och varma ultraljudsbarnmorskor och läkare som alla är specialicerade på ultraljud under graviditet.
Under graviditeten erbjuds alla graviditetsultraljud mellan graviditetsvecka 11–14 samt 18–20. Dessa ultraljud är kostnadsfria vid remiss från din barnmorskemottagning. Välkommen till oss på EndoGyn Barnmorskekliniken!
Här nedan beskriver vi vad de olika ultraljuden innebär. Mer information hittar du på 1177
Patientavgift 0 kr
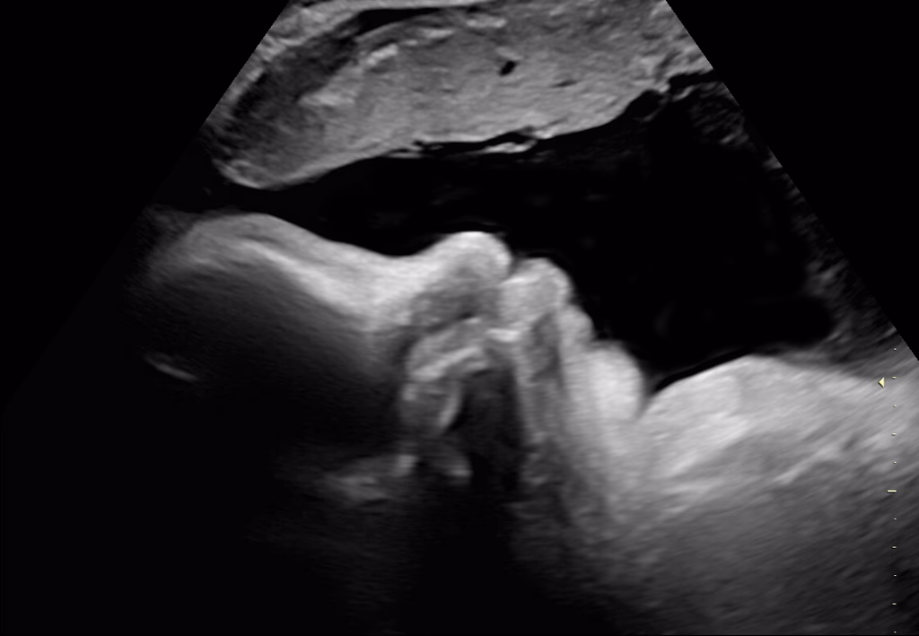
Vecka 11-13+6
Första trimestern ultraljud
Vid ultraljud i första trimestern dateras graviditeten och du får ett beräknat förlossningsdatum. Fostret är nu cirka 6-7 cm mellan huvud och rumpa (CRL, Coronary Rump Lenght).
Vi kontrollerar antal foster, hjärtaktivitet och fostervattenmängd. Fostrets anatomi granskas noggrant för att upptäcka eventuella avvikelser, och moderkakans läge bedöms. Undersökningen görs via magen.

Vecka 12-14
Kombinerat ultraljud och blodprov (KUB)
KUB står för kombinerat ultraljud och blodprov i graviditetsvecka 11-14, men bästa tiden är kring vecka 12+5. KUB görs för att titta igenom hela fostrets kropp samt räkna ut sannolikheten för kromosomavvikelser av typen Downs syndrom samt Edwards och Pataus syndrom. Ultraljudet görs via magen,
Vid ultraljudet tittar vi bl a på hur många foster det finns, var moderkakan sitter, hjärtaktivitet och fostervattensmängd. Vi mäter en vätskespalt i nacken samt fostrets huvud och kropp. Vi går även igenom kroppens anatomi enligt en checklista och vi sätter ett beräknat datum för förlossning.
Blodprovet består av B-Hcg och PAPP-A, två gravidhormoner. Vid uträkning av sannolikhet läggs mått, blodprover samt mammans ålder ihop och man får fram en sannolikhetssiffra som ligger mellan 1:2, högst sannolikhet, och 1:20000, lägst sannolikhet. Vid hög sannolikhet erbjuds fortsatt utredning med NIPT, fostervattenprov (AC) eller moderkaksprov (CVB). Om du får en låg sannolikhet men ändå vill gå vidare med NIPT kan du betala för det själv.

Vecka 19-20
Rutinultraljud/andra trimesterultraljud
Rutinultraljudet görs via magen i graviditetsvecka 19 för att gå igenom anatomin på fostret enligt en checklista, titta var moderkakan sitter, kontrollerar hjärtaktivitet, fosterrörelser samt mängden fostervatten. Har du inte gjort något tidigare ultraljud sätts ett beräknat förlossningsdatum i samband med rutinultraljudet och vi tittar på hur många foster det är i magen.
Vid det här ultraljudet är fostret cirka 20 cm och vi kan också se vad det är för kön, om du vill veta det.

Från vecka 10+0
NIPT
NIPT är ett riskfritt blodprov från den gravida som analyserar fostrets DNA för att med stor säkerhet påvisa kromosomavvikelserna trisomi 13, 18 och 21, samt avvikande antal könskromosomer.
NIPT erbjuds kostnadsfritt om KUB visat förhöjd sannolikhet för kromosomavvikelse, annars kan provet tas till självkostnad. Väljer du att göra NIPT utan medicinsk indikation, det vill säga utan förhöjd sannolikhet vid KUB, kostar provet 5 500 kr. Vill du göra NIPT redan innan KUB erbjuder vi NIPT med ultraljud från vecka 10+0 för 6 000 kr.
Vid ett avvikande resultat behöver diagnosen alltid bekräftas med moderkaksprov eller fostervattenprov.

Vecka 24-41
Tillväxtkontroll och flöde från v24
Mellan vecka 24 och 41 kan du göra ett tillväxtultraljud för att kontrollera fostervattenmängd, hjärtaktivitet, fosterrörelser, fosterposition och moderkakans placering. Genom att mäta huvud, mage och lårben kan vi också beräkna fostrets ungefärlig vikt.
Vid tecken på avvikande tillväxt, eller om det finns riskfaktorer som kan påverka fostrets utveckling, skriver din barnmorska en remiss för detta. Om allt är bra men du ändå känner att du vill göra ett till privat ultraljud, rekommenderar vi att det går två veckor mellan tillväxtultraljuden.
Sent i graviditeten kan det vara svårt att se barnet i sin helhet. Vid behov kan undersökningen kompletteras med flödesundersökningar av blodkärlen för att mäta blodflödet till livmodern eller barnet.

Vecka 24-34
Extra kontroll av moderkakans position
Om moderkakan vid rutinultraljudet sitter nära inre modermunnen görs en uppföljande kontroll vid ett senare tillfälle. Undersökningen görs via magen eller vaginalt beroende på moderkakans läge.
Inför undersökningen är det bra att undvika att kissa cirka en timme innan, så att urinblåsan är lite fylld.


Vår barnmorska Camilla delar hon sin kunskap om vad som faktiskt händer i kroppen under graviditeten.
Din kropp under graviditeten – vad som händer och varför träning spelar roll
Vanliga frågor
Inför ultraljudet i tidig graviditet rekommenderas att du kommer med en fylld urinblåsa, vilket ger bättre bild. Inför det anatomiska ultraljudet i vecka 18–20 behövs ingen speciell förberedelse.
Ja, du är välkommen att ta med en person till ditt ultraljud.
Ja, vi utför alla ultraljud som är indicerade under en graviditet. Våra ultraljudsbarnmorskor och specialistläkare har lång erfarenhet och använder den senaste utrustningen. Du kan be din barnmorska på din barnmorskemottagning att remittera till oss, och annars boka ett privat ultraljud via vår app eller hemsida. Välkommen!
Ja, vi erbjuder privata ultraljud under hela graviditeten från vecka 7+0 till vecka 41 som du kan boka när det passar. För ett tillväxtultraljud rekommenderar vi att det görs först i graviditetsvecka 24+0.
Du hittar mer info och kan boka ditt önskade besök under "Vård och tjänster" och "Privata ultraljud + NIPT". Välkommen!
Nej, KUB är helt frivilligt. Det är ett erbjudande inom fosterdiagnostiken och det är du som väljer om du vill veta mer om risken för kromosomavvikelser eller inte. Många väljer att göra KUB för att få mer information, medan andra väljer att avstå, båda valen är helt okej. Om du är osäker kan du prata med din barnmorska som hjälper dig att fatta ett beslut som känns rätt för dig.
NIPT är ett blodprov som analyserar fostrets DNA i mammans blod och ger information om risken för trisomi vissa kromosomavvikelser. NIPT erbjuds kostnadsfritt vid medicinsk misstanke eller vid ett avvikande KUB-resultat.
Väljer du att göra NIPT utan medicinsk indikation, det vill säga utan förhöjd sannolikhet vid KUB, kostar provet 5 500 kr. Vill du göra NIPT redan innan KUB erbjuder vi NIPT med ultraljud från vecka 10+0 för 6 000 kr. Du kan boka privat ultraljud via vår app eller på hemsidan under Vård & Tjänster-fliken "Privata ultraljud + NIPT".
Våra ultraljudsbarnmorskor utför de allra flesta ultraljud på magen, det är bara vid behov som de gör vaginala ultraljud. Det kan till exempel vara aktuellt vid väldigt tidiga ultraljud, innan v 7+0, om det är svårt att se fostret via magen eller om man vill veta precis hur moderkakan ligger i förhållande till inre modermun.
Ska du till läkaren och göra tidigt ultraljud i v 6-7, på grund av tidigare utomkvedshavandeskap eller mola, görs detta vaginalt. Läkare gör också kontroller av moderkaka (v 24-36) både via mage och vaginalt, om moderkakan på rutinultraljudet legat över inre modermun.




.avif)





